Gemeinsam für Ihre Zahngesundheit
Erfahrungen, die
Vertrauen schaffen
Unser Ziel ist es, dass sich jeder Patient bei uns wohl und gut aufgehoben fühlt. Die positiven Rückmeldungen motivieren uns, unsere Arbeit jeden Tag zu verbessern. Von der Frühbehandlung bis hin zu Alignern und Retainern zeigen die Bewertungen, wie wir Zahn- und Kiefergesundheit nachhaltig fördern.
Erfahrungen, die
Vertrauen schaffen
Die Meinungen und Erfahrungen unserer Patienten sind ein zentraler Bestandteil unserer Arbeit. Wir freuen uns, dass wir vielen Menschen zu einem gesunden und selbstbewussten Lächeln verhelfen konnten.
Unser Ziel ist es, dass sich jeder Patient bei uns wohl und gut aufgehoben fühlt. Die positiven Rückmeldungen motivieren uns, unsere Arbeit jeden Tag zu verbessern. Von der Frühbehandlung bis hin zu Alignern und Retainern zeigen die Bewertungen, wie wir Zahn- und Kiefergesundheit nachhaltig fördern.
Erfahrungen, die Vertrauen schaffen
Die Meinungen und Erfahrungen unserer Patienten sind ein zentraler Bestandteil unserer Arbeit. Wir freuen uns, dass wir vielen Menschen zu einem gesunden und selbstbewussten Lächeln verhelfen konnten.
Unser Ziel ist es, dass sich jeder Patient bei uns wohl und gut aufgehoben fühlt. Die positiven Rückmeldungen motivieren uns, unsere Arbeit jeden Tag zu verbessern. Von der Frühbehandlung bis hin zu Alignern und Retainern zeigen die Bewertungen, wie wir Zahn- und Kiefergesundheit nachhaltig fördern.
Unsere Arbeit spricht
für sich

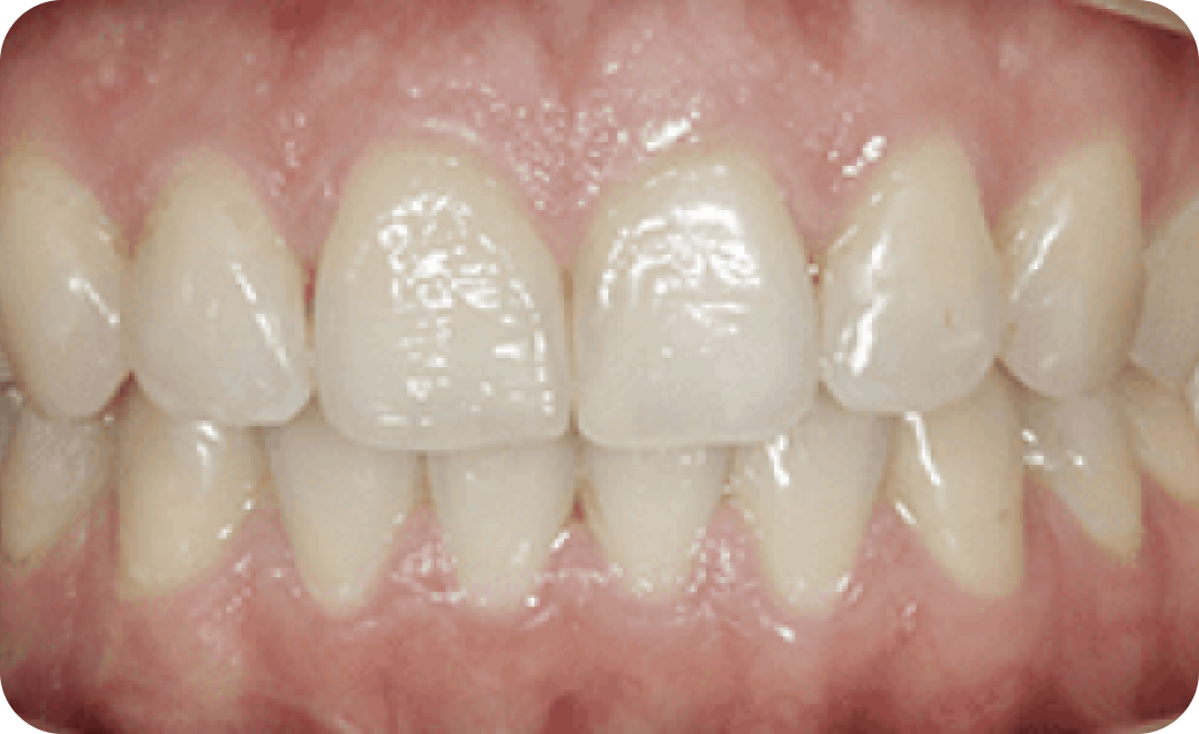
Zahnkorrektur mit kieferorthopädischer Behandlung

Korrektur einer Zahnfehlstellung mit Invisalign-Alignern
In diesem Fall wurde eine Zahnfehlstellung erfolgreich mit Invisalign-Alignern korrigiert. Die Ausgangssituation zeigt eng stehende und leicht gekippte Frontzähne, die sowohl ästhetische als auch funktionale Einschränkungen verursachten. Durch die präzise Planung und schrittweise Bewegung der Zähne konnten die Aligner die Zähne in die gewünschte Position bringen.
Das sagen unsere
zufriedenen Kunden
Die Dehnplatte hat uns sehr geholfen, die Zahnstellung meiner Tochter zu korrigieren. Der Tragekomfort ist gut und die Ergebnisse sind schon nach kurzer Zeit sichtbar. Die Behandlung wurde effizient und schnell angepasst. Ich kann diesen Apparat nur empfehlen.
Anna
Bewertungen
Das sagen unsere
zufriedenen Kunden
Joahim
Die Aligner-Behandlung war eine großartige Erfahrung. Es war praktisch und diskret – niemand bemerkte, dass ich Zahnspangen trug. Die regelmäßigen Anpassungen waren einfach und bequem, und die digitale Planung ermöglichte eine exakte Behandlungs überwachung. Ich bin mehr als zufrieden mit den Ergebnissen.
Kateryna
Vlad